硅胶隆胸是应用十分广泛的一种隆胸方法,不少朋友对硅胶隆胸方法十分感兴趣,但是也有朋友对于硅胶隆胸的安全性存在疑虑。那么,硅胶隆胸危害有哪些呢?...
420人阅读
8人评论
2016-05-20 15:19
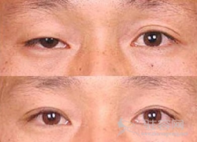
上睑下垂系指提上睑肌(动眼神经支配)和Müller平滑肌(颈交感神经支配)的功能不全或丧失,以致上睑呈现部分或全部下垂,轻者遮盖部分瞳孔,严重者瞳孔全部被遮盖。 上睑下垂手...
302人阅读
8人评论
2016-05-21 11:37
眼睛是心灵之窗,上睑一旦松弛下垂,不仅心灵之窗会缺失美感,眼部也会尽显憔悴沧桑,上睑下垂矫正手术可以为女性找回眼部的美丽,让女性再次拥有倾国倾城的明眸亮眼 上睑下垂手术多少钱?专家指出...
258人阅读
8人评论
2016-05-21 11:38
眼睛是心灵之窗,能够流露出人的内心情感,体现出人的喜怒哀乐。眼睛好不好看,对一个人的形象是有很大影响的。上睑下垂是一种常见的眼部疾病,给患者造成了很大的困扰 专家介绍,上...
340人阅读
8人评论
2016-05-21 11:38
东方人的特点就是先天小眼症,上睑下垂是一种常见问题,有先天性的也有后天性性的,会影响面部形象及视力,可以做上睑下垂矫正。 专家介绍,上睑下垂是提上睑和平滑肌功能不全或丧失导...
264人阅读
8人评论
2016-05-21 11:38
瘦脸针瘦脸实质上就是采用肉毒杆菌毒素注射治疗咬肌肥大。女性以椭圆形面型为美,常因下颌角处肥大而要求整形。该产品主要由上海斯诺美生物医学技术服务中心提供 专家介绍,瘦脸针是一种A型肉毒素...
264人阅读
8人评论
2016-05-21 11:40